Hoppa till innehåll

Strålbehandling med rektalstav skonsamt alternativ vid prostatacancer

2005 var Akademiska pionjär i Sverige med strålbehandling med rektalstav mot prostatacancer. Sjukhuset är fortfarande ensamt om att erbjuda denna form av strålbehandling som ger färre biverkningar än andra jämförbara metoder. Metoden gör det möjligt att ge högre dos i prostata och skona frisk vävnad/intilliggande organ.

Publicerad 2016-12-14 • Pressmeddelande

– Precis som vid annan strålterapi är målet med stavbehandling att döda cancercellerna. Vi behandlar 25-30 patienter per år med denna metod. Fördelen är att man kan öka avståndet mellan prostata och ändtarmen och därigenom ge högre stråldos i prostata och lägre i ändtarmen så att frisk vävnad skonas. Jämfört med konventionell strålbehandling utan rektalstav, som är vanligast idag, kan man ge lite högre stråldos utan fler biverkningar, säger Kristina Nilsson, överläkare i onkologi vid Akademiska sjukhuset.

Sedan starten 2005 har cirka 700 män fått stavbehandling på Akademiska, cirka 500 har strålats med protoner och 200 med fotoner. Enligt en utvärdering av strålning med protoner med eller utan stav finns inga skillnader när det gäller komplikationer. Just nu pågår en studie på 200 patienter som genomgått strålning med fotoner vid Akademiska. 2017 planerar man starta en ny, större studie där man jämför stavmetoden med annan strålterapi.

– Målgruppen för strålbehandling med rektalstav är framförallt män med prostatacancer av högrisktyp som bedöms gynnas av lokal strålning och patienter med intermediärisktyp som av olika skäl inte kan behandlas med brachyterapi. Dessa skäl kan till exempel vara om prostatan är för stor (svårt att komma åt), om patienten inte kan sövas på grund av andra bakomliggande sjukdomar eller om patienten behandlas med blodförtunnande medel, förklarar Kristina Nilsson.

Strålning är ett vanligt sätt att behandla prostatacancer, både när cancern är kvar i prostatan och när den spridit sig till andra delar av kroppen. Vid tidig sjukdom, när tumören inte spridit sig utanför prostatakörteln, är strålning ett likvärdigt alternativ till kirurgi som botande behandling. Forskning har visat att ju högre stråldoser man kan ge tumören, desto större är chansen till bot. De doser som fortfarande användes för något decennium sedan var ofta inte tillräckligt höga för att bota patienten. Det finns nu en stark strävan att utveckla metoder som gör att man kan öka stråldosen utan att förvärra biverkningarna.

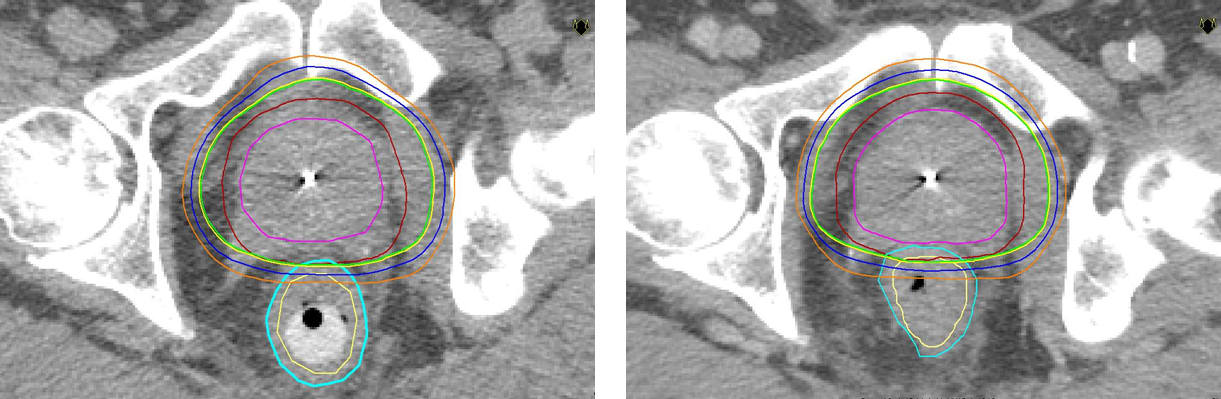
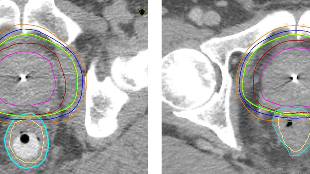
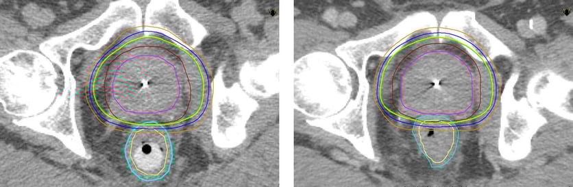
En utmaning vid prostatacancer är precisionen eftersom prostatakörteln är rörlig, men strålningstekniken har successivt blivit allt mer träffsäker. Man skiljer på yttre strålning (strålkällan är utanför patientens kropp) som t ex strålbehandling med rektalstav, eller olika typer av intern strålbehandling, så kallad brachyterapi.

Inom strålbehandlingen på Akademiska bedömer experterna att de goda resultaten med stavbehandling delvis beror på att rektalstaven bidrar till att fixera prostata under behandlingen.

– I dag erbjuds strålbehandling vid 16 kliniker i Sverige (protonterapi vid Skandionkliniken inräknad). Vi är fortfarande ensamma i landet om stavbehandling vilket är förvånande eftersom metoden är tekniskt enkel. Den ges också på ett sjukhus i Finland och glädjande nog har vi nyligen fått information om positiva resultat vid användning rektalstaven även i Australien. Vår bedömning är att fler svenska patienter skulle kunna dra nytta av den, särskilt de som idag får vård på strålbehandlingsklinker som inte erbjuder brachyterapi, avrundar sjukhusfysiker Ulf Isacsson.


Mer information:

Kristina Nilsson, överläkare i onkologi, telefon: 018-611 56 16 eller 0738-665370
Ulf Isacsson, 1:e sjukhusfysiker inom strålterapin, telefon: 018-611 29 22 eller 0761-132708

FAKTA: Strålterapi med rektalstav vid prostatacancer
* En metod för strålbehandling som har utvecklats på Akademiska sjukhuset. 
* Den första patienten behandlades 2005. Sedan dess har cirka 700 fått strålbehandling med rektalstav, initialt med protoner, numera med fotoner.
* Rektalstaven förs in i ändtarmen som trycks nedåt och separeras från prostatan. På så sätt kan stråldosen minskas till ändtarmen.
* Normalt ges strålningen med stav vid fyra tillfällen. Därutöver får patienterna annan strålning med lägre dos vid 25 tillfällen. Om tumören är av högrisktyp ges även hormonbehandling som komplement för att minska risken för spridning.

Bilder

Ulf Isacsson och Kristina Nilsson

Ulf Isacsson och Kristina Nilsson

Ladda ned bild

Uppdaterad: 2026-02-26