Hoppa till innehåll

Mer individanpassad strålning ska ge skonsammare cancervård

Akademiska sjukhuset medverkar i en ny nationell satsning på mer skonsam strålbehandling. Tillsammans med industrin arbetar fyra universitetssjukhus för att integrera magnetresonanstomografi, MRI, i rutinvård och möjliggöra mer skräddarsydda och skonsamma behandlingar.

Publicerad 2017-04-18 • Pressmeddelande

– Ny forskning visar att bildgivande magnetresonanstomografi, MRI, ger väsentligt mer information om vissa typer av tumörer än tidigare metoder. Det ökar möjligheterna att skräddarsy behandlingen efter enskilda cancerpatienters sjukdom, säger Martin Lundmark, sjukhusfysiker och projektledare.

I projektet Skonsam strålbehandling kraftsamlar svensk sjukvård och industriella partners för att ta fram en lösning så att MRI helt ska kunna integreras i flödet kring strålbehandling på sjukhusen. Akademiska är ett av fyra universitetssjukhus som deltar. Under två år kommer ny MRI-teknik att implementeras i strålbehandlingsprocessen för fyra stora patientgrupper: prostatacancer, huvud- och halscancer, hjärna och övre delen av halsen samt bäckenområdet.


– Arbetsmetoderna som utvecklats ska nu införas i klinisk rutin. Det medför ytterligare ett viktigt steg mot individualiserad strålbehandling. På sikt är förhoppningen att behandlingarna ska bli effektivare med mindre biverkningar för patienterna, säger Gunilla Jansson Frykholm, överläkare i onkologi.

Sjukhusfysiker Martin Lundmark, ansvarar för projektet på Akademiska. I det multiprofessionella teamet som arbetar med satsningen ingår onkologer, sjukhusfysiker, radiologer, MR-sköterskor, strålbehandlingssköterskor och dosplanerare.

Till en början ska den nya metoden MRI-styrd strålbehandling införas för patienter med intrakraniella och huvud-nära tumörer. De första patienterna kommer att påbörja sin behandling innan sommaren.


Han ser flera fördelar med det nära samarbetet mellan deltagande kliniker och industrin, som han menar bidrar till att den tekniska utvecklingen kan snabbas upp. Att företagens nya produkter används och utvecklas i en patientnära miljö, anser han möjliggör industriell tillväxt samtidigt som forskningresultaten kommer patienterna till godo.

– Genom det här projektet befäster Sverige sin position som en ledande nation inom strålbehandling. Det är en unik satsning utan internationell motsvarighet som innebär att våra patienter får tillgång till den bästa tillgängliga behandlingen,kommenterar Tufve Nyholm sjukhusfysiker och docent.

FAKTA: Projektet Skonsam strålbehandling

  • Ett nationellt projekt som pågår 2017-2019 och syftar till att integrera magnetresonanstomografi, MRI, i flödet kring strålbehandling på sjukhusen.
  • Involverar fyra universitetssjukhus: Akademiska sjukhuset, Sahlgrenska universitetssjukhuset, Skåne universitetssjukhus och Umeå universitetssjukhus.
  • Koordineras och leds av Västerbottens läns landsting tillsammans med Umeå universitet.
  • Innovationsmyndigheten Vinnova bidrar med 11,2 miljoner kronor för att möjliggöra denna process. 
    Från industrin deltar Naslund Medical AB, Spectronic Medical AB, Raysearch Laboratories, Elekta, GE Healthcare och Siemens
  • Varje deltagande universitetssjukhus har huvudansvar för en patientgrupp: prostata (Skånes universitetssjukhus, Lund), huvud och hals (Sahlgrenska, Göteborg), hjärna och övre delen av halsen (Akademiska sjukhuset, Uppsala) samt bäckenområdet (Umeå Universitetssjukhus).

För mer information, kontakta:

Martin Lundmark, sjukhusfysiker och projektledare för Skonsam strålbehandling, telefon:018 - 611 90 26, e-post: martin.lundmark@akademiska.se

Gunilla Jansson Frykholm, överläkare i onkologi, telefon: 018-611 17 51, e-post: gunilla.jansson.frykholm@akademiska.se

Tufve Nyholm sjukhusfysiker och docent, telefon: 018-611 79 63 eller 0764-96 38 01, e-post: tufve.nyholm@akademiska.se

Bilder

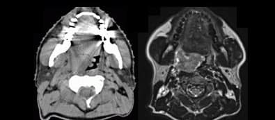
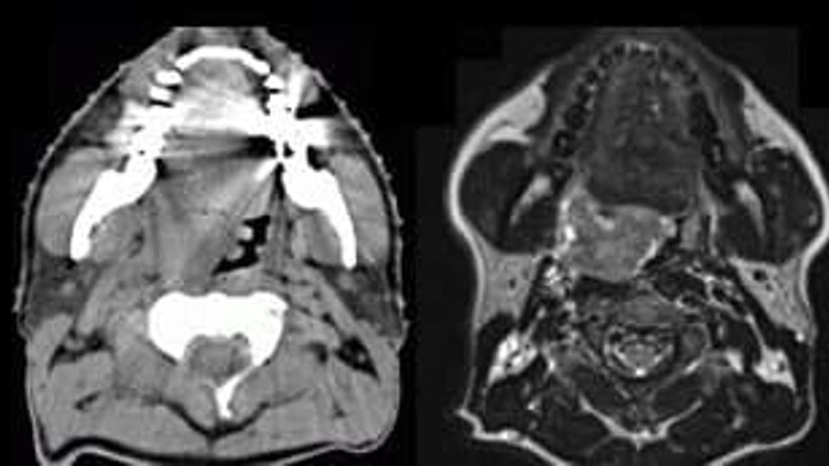
Till vänster röntgenbild med datortomografi (DT) i höjd med munhålan, till höger motsvarande bild av samma patient med magnetresonanstomografi, MRI, med tydligt förbättrad mjukdelskontrast.

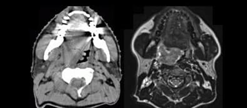
Till vänster röntgenbild med datortomografi (DT) i höjd med munhålan, till höger motsvarande bild av samma patient med magnetresonanstomografi, MRI, med tydligt förbättrad mjukdelskontrast.

Ladda ned bild

Martin Lundmark

Martin Lundmark

Ladda ned bild

Uppdaterad: 2026-02-26