Hoppa till innehåll

Dyr ytbehandling av höftproteser ökar inte hållfastheten

Sedan ett par decennier har höftproteser med en speciell mineralbeläggning vunnit terräng inom sjukvården eftersom de ansetts fästa bättre i skelettet. En nordisk registerstudie, ledd av forskare vid Akademiska sjukhuset, visar nu att ytbehandlade proteser inte håller längre än icke-behandlade.

Publicerad 2018-05-30 • Pressmeddelande

– Tidigare har det varit ovisst om ytbehandling av höftproteser med mineralbeläggning (hydroxyapatit) förbättrar beninväxten och hållfastheten. Våra resultat visar att så inte är fallet. Att proteser som inte ytbehandlats sitter lika bra är faktiskt lite överraskade. För patienten innebär rätt val av implantat att man slipper opereras om. Dessutom är icke belagda proteser betydligt billigare, säger Stergios Lazarinis, överläkare i ortopedi på Akademiska sjukhuset, som lett studien.

I takt med att befolkningen åldras drabbas allt fler av ledsjukdomen artros, som är en vanlig åkomma även i höftleder. I Sverige görs drygt 16 000 höftledsoperationer per år, varav 650 på Akademiska sjukhuset och Lasarettet i Enköping.

I studien har forskarna analyserat utfallet för 28 605 höftledsproteser registrerade i den nordiska databasen Nordic Arthroplasty Register Association (NARA) under perioden 1995-2013. Man har jämfört hållbarheten för tre olika ledskålar, med eller utan ytbehandling med ett mineraliskt ämne,hydroxyapatit, så kallad HA-beläggning. Resultaten visade att skillnaden mellan ledskålar med respektive utan beläggning var försumbar. En uppföljning 13 år efter höftledsoperationen visade att 97,9 % av patienterna som fått icke ytbehandlade proteser hade dessa kvar och inte behövde opereras om. Resultatet för dem som fått ytbehandlade proteser var 97,8%.

– Vår slutsats är att risken att ledskålar i höftproteser lossnar är lika stor för ytbehandlade implantat som icke ytbehandlade. Med andra ord bidrar inte ytbehandlingen till ökad stabilitet. Vi konstaterar också att infektionsrisken föreföll högre hos de patienter som fått ytbehandlade proteser, ett område som behöver utforskas vidare, framhåller Stergios Lazarinis.

Studien har publicerats i den ansedda internationella ortopediska tidskriften Osteoarthritis and Cartilage.


För mer information:


Stergios Lazarinis, överläkare i ortopedi, Akademiska sjukhuset, tfn:018-6117083, e-post: stergios.lazarinis@akademiska.se

Nils Hailer, överläkare och professor i ortopedi, Akademiska sjukhuset, tfn: 018-611 90 38, e-post: nils.hailer@akademiska.se

Länkar

Bilder

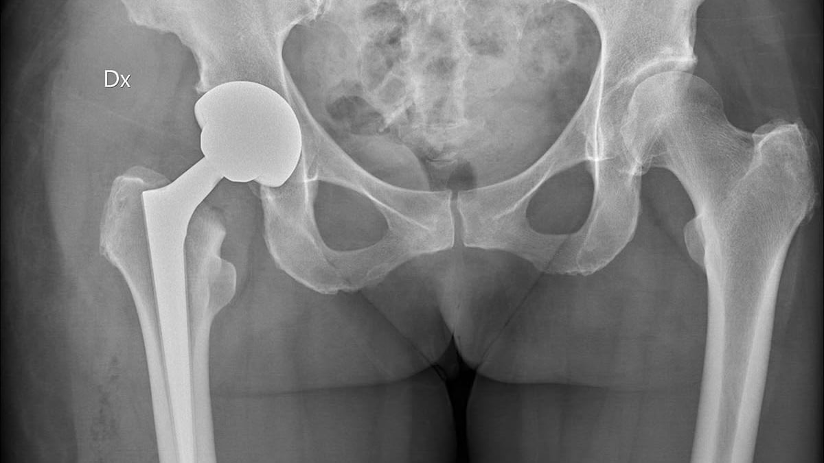
Röntgenbilden visar ett bäcken där patienten på ena sidan (vänster i bild) fått en höftprotes inopererad.

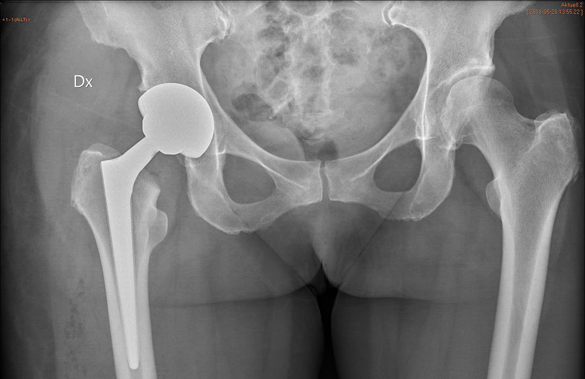
Röntgenbilden visar ett bäcken där patienten på ena sidan (vänster i bild) fått en höftprotes inopererad.

Ladda ned bild

Stergios Lazarinis

Stergios Lazarinis

Ladda ned bild

Nils Hailer, professor i ortopedi Akademiska sjukhuset

Nils Hailer, professor i ortopedi Akademiska sjukhuset

Ladda ned bild

Uppdaterad: 2026-02-26