Hoppa till innehåll

Aktiv träning utan operation lika bra som operation och gipsning vid benbrott på mellanhandsbenen

Fraktur på mellanhandsbenen är en mycket vanlig skada som ofta leder till sjukfrånvaro. Traditionellt behandlas patienterna med operation och gips om röntgenundersökning visar betydande felställning. En forskningsstudie ledd från Akademiska sjukhuset visar att behandling med aktiv, daglig träning utan operation ger lika bra resultat och med kortare sjukfrånvaro.

Publicerad 2022-11-23 • Pressmeddelande

– Studien visar att resultaten blev lika bra med aktiv träning utan operation som med operation/gipsning. Bland patienter som träningsbehandlades läkte frakturerna bra och sjukskrivningstiden var signifikant kortare. Patienterna blev mindre stela och snabbare återställda. Behandlingsmetoden påverkade heller inte patienternas handfunktion, smärta eller nöjdhet, säger Fredrik Peyronson, ST-läkare i handkirurgi på Akademiska sjukhuset och forskare vid Uppsala universitet.

Frakturer på mellanhandsbenen, så kallade metakarpalbensfrakturer, är mycket vanliga skador på en jour- eller akutmottagning. Frakturerna orsakas oftast av fallskador eller trubbigt våld när handen törnar emot ett hårt föremål, men även idrottsskador. De kan även uppstå i samband med bilolyckor och av spräng- eller skottskador. Frakturerna förekommer i alla åldrar och drabbar båda könen, men är vanligast hos yngre i arbetsför ålder.

I den aktuella studien jämfördes en relativt ny, träningsinriktad behandlingsmetod utan operation med konventionell behandling, som innebär att man, vid betydande felställning, opererar och fixerar med skruvar, oftast kompletterat med en kortare tid i gips. Syftet var att kontrollera om den nya behandlingen ger resultat som inte är sämre den gamla metoden. Patienterna slumpades in i två grupper som fick endera behandlingen. Patienter i operationsgruppen gipsbehandlades under två veckor.

– Alla patienter i träningsgruppen fick börja rörelseträna handen så fort de inkluderats i studien, inom tio dagar efter skadan. De fick belasta handen helt utan restriktioner. Träningen gick ut på att aktivt sträcka fingrar och knyta handen minst 25 gånger dagligen, utspritt över fem tillfällen under dygnet, med den skadade handens egen muskelkraft. Utöver detta tilläts patienterna använda handen helt fritt, förklarar Fredrik Peyronson.

– Förhoppningsvis kommer fler patienter i framtiden behandlas med omedelbar mobilisering efter snedfraktur genom skaftet på handens metakarpalben. Det skulle drastiskt kunna minska operationsrelaterade risker och korta sjukfrånvaron, utan att försämra behandlingsresultatet. Färre operationer av metakarpalbensfrakturer skulle också frigöra mer resurser för att operera de skador där vi vet att kirurgi är nödvändig för ett bra resultat, avslutar han.


Fakta om studien

  • Har letts från Akademiska sjukhuset. Under åren 2017-2020 inkluderades patienter på Akademiska sjukhuset, mellan mars 2019 och maj 2020 även patienter vid Falu Lasarett.
  • Samtliga patienter hade skadat sig maximalt tio dagar innan de fick behandling inom ramen för studien.
  • Alla som deltog i studien hade en felställning på pek-, lång-, ring- eller lillfingret på minst två millimeter vid röntgenundersökningen eller rotationsfelställning konstaterad vid klinisk undersökning. Frakturer i tummens metakarpalben ingick inte i studien.
  • Patienterna skulle även ha haft en normal handfunktion före frakturen och förmåga att genomföra handträning.



Läs mer om studien här.

För mer information/intervju, kontakta:
Fredrik Peyronson, ST-läkare i handkirurgi på Akademiska sjukhuset och doktorand vid Uppsala universitet;
018-617 15 45
fredrik.peyronson@akademiska.se

 

 

Bilder

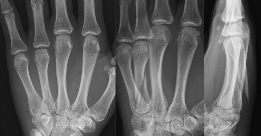
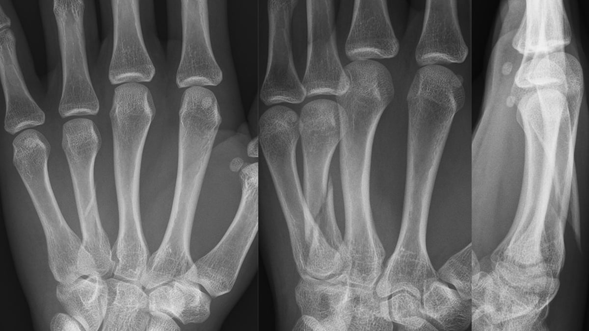
En forskningsstudie ledd från Akademiska visar att en ny behandlingsmetod för frakturer på mellanhandsbenen, fokuserad på aktiv träning, ger lika bra resultat som traditionell behandling med operation och gipsning.

En forskningsstudie ledd från Akademiska visar att en ny behandlingsmetod för frakturer på mellanhandsbenen, fokuserad på aktiv träning, ger lika bra resultat som traditionell behandling med operation och gipsning.

Ladda ned bild

Fredrik Peyronson, ST-läkare i handkirurgi på Akademiska sjukhuset och forskare vid Uppsala universitet (Privat bild)

Fredrik Peyronson, ST-läkare i handkirurgi på Akademiska sjukhuset och forskare vid Uppsala universitet (Privat bild)

Ladda ned bild

Uppdaterad: 2026-02-26