Hoppa till innehåll

Akademiska får nationellt ansvar för vård vid systemisk amyloidos

Akademiska sjukhuset/Region Uppsala tilldelas tillstånd att bedriva nationell högspecialiserad vård vid systemisk amyloidos, ovanliga sjukdomar som beror på felveckade proteiner och ofta påverkar flera organ såsom hjärta och njure. Beslutet, som togs av Nämnden för högspecialiserad vård 8 mars, innebär att vården koncentreras till tre sjukhus.

Publicerad 2023-03-10 • Pressmeddelande

– Detta är en bekräftelse på att Akademiska ses som ett av de ledande sjukhusen i landet inom systemisk amyloidos. Vi får nu ett ansvar att utveckla och säkra både vården och forskningen. För patienterna innebär koncentrationen av vård till färre sjukhus att man säkerställer bästa möjliga kompetens att diagnostisera, utreda och erbjuda rätt behandling för de olika sjukdomstyperna. Under senare år har nya behandlingsmöjligheter tillkommit och utvecklingen går snabbt framåt. Vi räknar därför med att utreda och behandla fler patienter med komplex sjukdomsbild kommande år, säger Birgitta Jönelid, överläkare inom kardiologi vid Akademiska sjukhuset.

Systemisk amyloidos omfattar ett flertal olika sjukdomar som beror på att vissa proteiner veckas på ett felaktigt sätt. Proteinerna lagras in i olika organ, framförallt hjärtat, nervsystemet och njuren, men även mag-tarmsystemet kan drabbas, med allvarlig skada som följd. Symtomen kommer oftast i vuxen ålder, ofta som hjärtsvikt, domningar och känselbortfall i fötter, underben och ibland händer men även njursvikt och tarmsymtom förekommer.

– Eftersom många olika organ kan drabbas växlar symtomen mellan patienterna. Detta faktum, liksom att sjukdomarna är ovanliga gör dem svåra att diagnostisera. Det krävs samlad kompetens från flera discipliner, exempelvis klinisk patologi, molekylär bilddiagnostik, kardiologi och klinisk fysiologi. Verksamheten bedrivs i huvudsak polikliniskt (dagvård) och patienterna behöver oftast inte slutenvård, fortsätter Birgitta Jönelid.

Akademiska sjukhuset har mångårig erfarenhet inom området, framför allt inom vävnadsdiagnostik. Sedan flera år har sjukhuset ett informellt, men väletablerat centrum för vävnadsbaserad diagnostik. Att med hjälp av olika metoder diagnostisera amyloiden samt särskilja olika sorters systemisk amyloidos är en central del i utredningen av patienterna.

Sedan tidigare har sjukhuset ansvar för huvuddelen av de mer komplexa, svårutredda fallen inom vävnadsdiagnostik i Sverige, cirka 600 fall per år. I höstas beslutade sjukhusledningen att inrätta ett centrum för amyloidosdiagnostik (ACAD); ett virtuellt kunskapscentrum med syfte att bibehålla och utveckla en hög nationell och internationell kunskapsnivå. I verksamheten ingår forskare med olika bakgrund.

Nationell högspecialiserad vård (NHV) har sedan 2018 ersatt rikssjukvård. Det handlar om att koncentrera den allra mest avancerade vården inom vissa diagnoser till färre sjukhus i syfte att förbättra kvaliteten, patientsäkerheten och kunskapsutvecklingen. Beslutet i Nämnden för högspecialiserad vård 8 mars innebär att utredning och vård vid systemisk amyloidos koncentreras vården till tre sjukhus: Akademiska sjukhuset, Karolinska universitetssjukhuset och Norrlands universitetssjukhus.

För mer information/intervju, kontakta:

Birgitta Jönelid, överläkare inom kardiologi, Akademiska sjukhuset (klinikfrågor);
018-611 54 18
birgitta.jonelid@akademiska.se

Per Westermark, professor vid institutionen för immunologi, genetik och patologi, Uppsala universitet (mer sjukdomsspecifika frågor);
018-471 4819 eller 070-586 75 61
per.westermark@igp.uu.se

 

FAKTA: Nationell högspecialiserad vård på Akademiska sjukhuset

  • Viss vård vid endometrios (kirurgi)
  • Brännskadevård
  • Kraniofacial kirurgi
  • Gallgångssjukdomen PSC
  • Transjugulär intrahepatisk shunt (TIPS) vilket omfattar endovaskulär behandling mot komplikationer vid skrumplever.
  • Moyamoya; en sjukdom som drabbar blodkärlen i hjärnan.
  • Huvud och halsparagangliom
  • Neuroendokrina tumörer i buken och avancerade binjuretumörer. Operationer vid hjärtsjukdom kopplad till NET
  • Osteogenesis imperfecta (OI)
  • Svårbehandlade ätstörningar, inkl barn
  • Cytoreduktiv kirurgi kombinerad med varm cellgiftsbehandling i bukhålan för patienter med spridd cancer i bukhinnan (HIPEC)
  • Epilepsikirurgi
  • Systemisk amyloidos
  • Elektrodextraktion i pacemaker och ICD

FAKTA: Diagnostik vid misstänkt systemisk amyloidos

  • Misstanke om systemisk amyloidos väcks ofta i samband med undersökning av hjärtat med hjärtultraljud och/eller magnetkameraundersökning där hjärtat avbildas anatomiskt och pumpfunktionen samt bland annat dimensioner av hjärtat undersöks.
  • Beroende på vilken typ av systemisk amyloidos som misstänks tas blodprover. Dessutom görs en scintigrafiundersökning; en nuklearmedicinsk undersökning som söker sig till ett visst organ eller viss vävnad.
  • För att fastställa diagnos tas ett vävnadsprov från ett ställe där man vet att amyloid brukar finnas. Med positronemissionstomografi (PET) kan förekomst av amyloida aggregat i hjärtat påvisas och mängden och fördelningen av utfällda proteiner kvantifieras och effekt av anti-amyloidbehandling följas upp.

 

Bilder

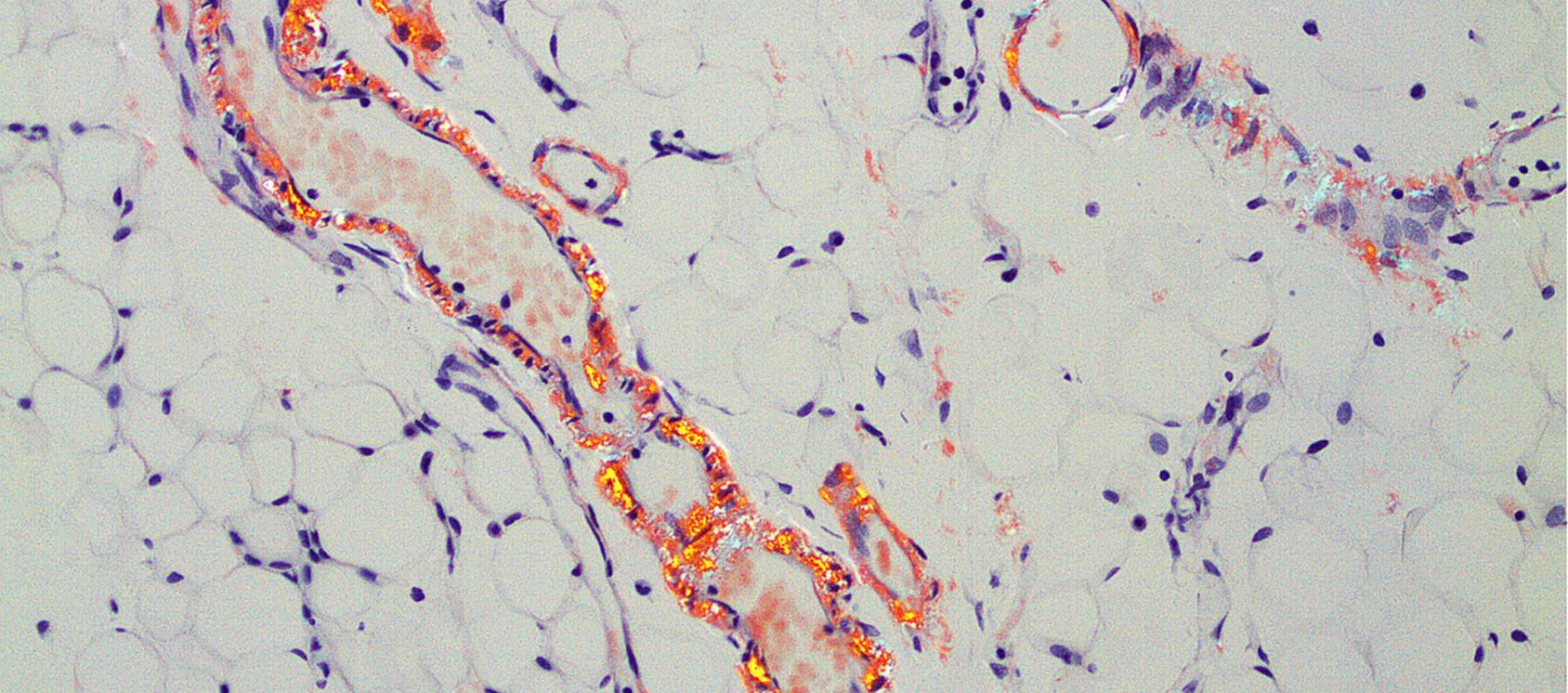
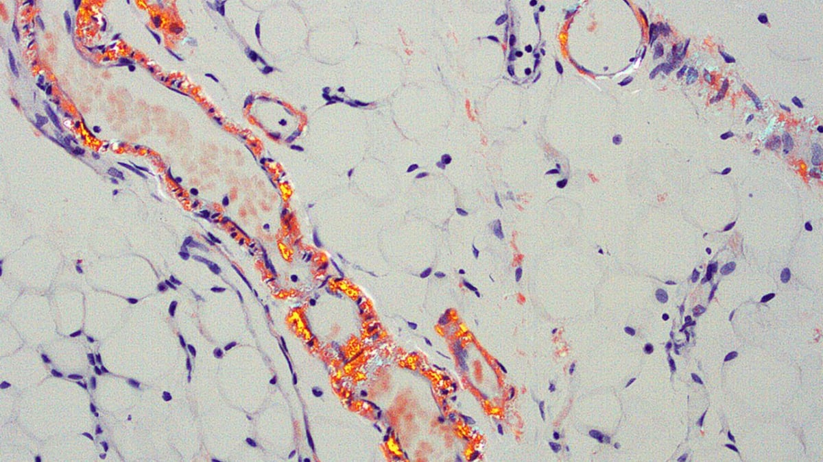
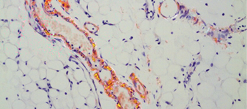
Systemisk amyloidos är ovanliga sjukdomar som beror på felveckade proteiner och ofta påverkar flera organ såsom hjärta och njure. På bilden, som är tagen i mikroskop, syns en amyloid inlagring (rödmarkerat) i vävnad.

Systemisk amyloidos är ovanliga sjukdomar som beror på felveckade proteiner och ofta påverkar flera organ såsom hjärta och njure. På bilden, som är tagen i mikroskop, syns en amyloid inlagring (rödmarkerat) i vävnad.

Ladda ned bild

Birgitta Jönelid, överläkare inom kardiologi, Akademiska sjukhuset. Foto: privat

Birgitta Jönelid, överläkare inom kardiologi, Akademiska sjukhuset. Foto: privat

Ladda ned bild

Uppdaterad: 2026-02-26