Hoppa till innehåll

Neuorotrauma

Neuorotrauma

Vad är neurotrauma?

Traumatisk hjärnskada (THS) är ett dominerande folkhälsoproblem. THS är den vanligaste orsaken till dödsfall och handikapp i befolkningen under 50 år. I denna åldersgrupp är den vanligaste orsaken trafikolyckor. Även i den äldre befolkningen utgör THS ett betydande hälsoproblem genom ett stort antal fallolyckor.

Olycksplats med intensivvårdshelikopter, ambulans, brandkår och blåljuspersonal.

Cirka 115 personer per 100 000 invånare drabbas årligen av THS i västvärlden. Det motsvarar ungefär 10 000 fall varje år i Sverige av en svårighetsgrad som leder till sjukhusvård eller död.

Konsekvenserna för patienter som överlever en THS är ofta förödande med långvariga handikapp i form av minnesstörningar, depressioner, personlighetsförändringar och neurologiska störningar. De drabbade individernas livskvalitet försämras när möjligheten att klara sina personliga dagliga aktiviteter, familjelivet och återanpassningen till arbetslivet äventyras.

Skada av hjärnan.

Trots omfattande samhällsinsatser med förebyggande trafikåtgärder och förbättrad sjukvård fortsätter THS att vara ett omfattande globalt folkhälsoproblem.

Målsättningen med Center of Excellence Neurotrauma i Uppsala är att göra en gemensam satsning på forskning och utveckling inom neurointensivvården genom en samverkan mellan Akademiska sjukhuset och Uppsala universitet för att hitta nya behandlingsmetoder som kan lindra THS-patienternas stora lidande.

Neurokirurgi

Neurokirurgiska kliniken i Uppsala svarar för den neurokirurgiska vården i en sjukvårdsregion med cirka 2 miljoner människor och många lokala sjukhus (längsta avstånd 300 km). Högspecialiserad vård erbjuds också till patienter från övriga riket och utlandet inom vissa områden, till exempel skallbaskirurgi.

Akuta neurokirurgiska patienter transporteras med sjukhusets intensivvårdshelikopter för neurokirurgi och neurointensivvård.

Luftburen intensivvård

Neurokirurgi på Akademiska idag

Kliniken har en neurokirurgisk vårdavdelning (85 E) med 35 vårdplatser, en neurointensivvårdsavdelning (NIVA) med 10-13
vårdplatser, en neurointermediär-vårdsavdelning (NIMA) med 12 vårdplatser och en operationsavdelning med 5 operationssalar.

Neurokirurgiska kliniken erbjuder en komplett arsenal för modern neurokirurgisk vård.

Huvudområden är:

  1. Neurotrauma, neurovaskulära sjukdomar och neurointensivvård.
  2. Skallbaskirurgi och hjärntumörer.
  3. Ryggneurokirurgi.
  4. Funktionell- och stereotaktisk neurokirurgi.
  5. Pediatrisk neurokirurgi.

Den neurokirurgiska verksamheten är multidisciplinär och sker ofta i samarbete med interventionella neuroradiologer, öron-näsa-hals kirurger, plastikkirurger och neurofysiologer.

Stereotaktisk protonterapi utförs på Skandionkliniken. Ett positron-emissions-tomograficentrum ligger i nära anslutning till den neurokirurgiska kliniken.

Skandionkliniken (skandionkliniken.se)

Neurokirurgi historiskt

Den svenska neurokirurgin utvecklades från början av 1920-talet på Serafimerlasarettet i Stockholm av Herbert Olivecrona. Från en rent allmänkirurgisk verksamhet blev neurokirurgin en avancerad egen specialitet. Herbert Olivecrona spelade stor roll för neurokirurgins utveckling både i Sverige och utom landet. Den första neurokirurgiska kliniken i Sverige med Olivecrona som chef inrättades på Serafimerlasarettet 1935.

Röntgenfotografering av skallen hos doktor Thor Stenbeck i Stockholm den 10 september 1896.

Attentat med revolverskott genom vänster öga in i hjärnan den 11 augusti 1895. Röntgenfotografering av skallen hos doktor Thor Stenbeck i Stockholm den 10 september 1896 varvid kulan kunde lokaliseras. Vid operation här på Akademiska sjukhuset den 2 februari 1897 (professor Lennander) påträffades kulan 1 cm under hjärnans yta och kunde exstiperas. Läkning utan komplikationer. Fallet synes vara det första i historien där en kula uttagits ur hjärnan efter lokalisation med röntgenbilder.

Huvudoperation: K.G. Lennander avlägsnar en pistolkula i nackloben.

K.G. Lennander avlägsnar en pistolkula i nackloben på en ung man. Röntgenundersökning utförd av Thor Stenbeck hösten 1896. Salomon Henschen står närmast bakom operatören. Röntgenbilderna kan studeras på Medicinhistoriska museet i Uppsala.

Neurointensivvård

Neurointensivvårdens viktigaste uppgift är att förhindra att sekundär hjärnskada uppkommer. Den primärt skadade hjärnan är känslig för alla typer av komplikationer som tillstöter. Sekundär hjärnskada kan orsakas både av intrakraniella komplikationer (blödningar, hjärnsvullnad, epileptiska anfall) och systemkomplikationer (lågt blodtryck, dålig andning, högt blodsocker, feber).

Neurointensivvården inriktas på att förebygga komplikationer och att noggrant övervaka/monitorera patienterna på olika sätt så att eventuella komplikationer upptäcks och kan åtgärdas direkt. Patienternas neurologiska reaktioner kontrolleras och dokumenteras regelbundet.

Den kliniska övervakningen kombineras med flera olika medicintekniska metoder för kontinuerlig övervakning/monitorering av patienten.

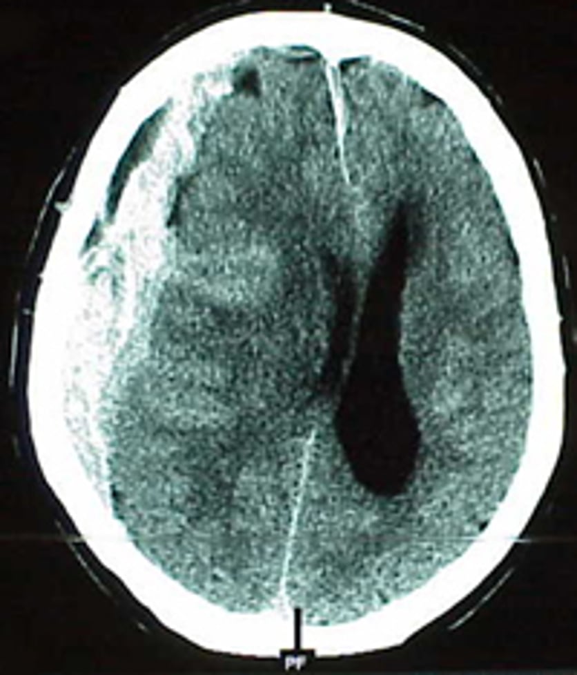
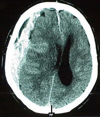
Vid misstanke på att till exempel blödningen ökat intrakraniellt undersöks patienterna med datortomografi.

  Datortomografibild på hjärnan.

Datortomografibilden visar en blödning mellan hjärnan och skallbenet.

Behandlingsresultat

Behandlingsresultaten har förbättrats betydligt vid skallskada. Diagrammet visar resultaten på Akademiska sjukhuset under olika tidsperioder vid medelsvår skallskada.

Diagram: behandlingsresultat.
GR = gott resultat
MD = måttligt handikapp (GR+MD= självständigt liv)
SD = svårt handikapp
VS = vegetativt tillstånd
D = död

History in Short

The development of neurosurgical intensive care was based on the pioneering work of professor Urban Pontén in the late 1970s. Dr Pontén had experience from experimental brain research, under the tutorship of professor Bo Siesjö, on cerebral energy metabolism and intracranial dynamics and incorporarated his experience into new principles for the neurosugical care of patients with acute brain damage. The corner stones of this early neurointensive care was careful monitoring of neurological symptoms and vital systemic functions, repeated CT Scanning and invasive intracranial pressure monitoring, developed by professor Nils Lundberg. 

The neurointensive care was gradually refined over the ensuing years and the first modern neurosurgical intensive care unit (Neuro-ICU) in the nordic countries was inaugurated in Uppala in 1990 with professor Lennart Persson as chief. The continual refinement of neurointensive care in Uppsala has been closely linked to extensive translational research on the mechanisms of acute brain injury and monitoring of the brain injury process. As a good example, the cerebral microdialysis method has been developed into a neurochemical monitoring tool in the Neuro-ICU by the pioneering work of professors Lennart Persson, Lars Hillered and Per Enblad.

NIVA-forskning

Standardiserat vårdinstruktionsprogram

For att skapa bra vård och goda förutsättningar för forskning på NIVA har ett standardiserat vårdinstruktionsprogram motsvarande "good laboratory practice" principerna utarbetats och införts på NIVA på Akademiska sjukhuset i Uppsala.

Se exempel på ett vårdinstruktionsprogram (jpg)

Studier av sekundär hjärnskada och behandlingseffekter

Forskningen på NIVA handlar om att studera hur sekundär hjärnskada uppkommer och kan förhindras samt effekten av olika behandlingsinsatser. Genom att analysera vad övervakningsutrustningen eller bilderna av hjärnan från olika undersökningar visar I samband med att en sekundär insult tillstöter eller olika behandlingar insätts fås en detaljerad inblick vad som händer i den mänskliga hjärnan under sådana förhållanden. På detta sätt kan nya principer och metoder för behandling utvecklas.

Datoriserat informationssystem

Den tekniska utrustningen gör det möjligt att kontinuerligt övervaka/mäta det intrakraniella trycket, blodtrycket, hjärnans perfusionstryck, hjärnans kemi, hjärnans elektrofysiologi, hjärnans temperatur, syrgashalten i hjärnan, syrgashalten i venösa blodet från hjärnan, blodflödeshastigheten och det intrakraniella reservutrymmet och en mycket stor mängd data genereras.

Ett datorsystem för insamling, analys och presentation av kliniska data.

Ett datorsystem har utvecklats och satts upp för insamling, analys och presentation av kliniska data (till exempel typ av olycka, fynd på datortomografi), fysiologiska övervakningsdata (till exempel intrakraniellt tryck, syrgashalt i hjärnan) och behandlingsdata (till exempel uttappning av hjärnvätska för att sänka intrakraniella trycket).

Ett datorsystem för insamling, analys och presentation av kliniska data.

NIVA-lab

Här arbetar BMA Inger Ståhl Myllyaho heltid och sköter organisationen och kvalitetssäkringen av patientnära neurokemisk diagnostik och monitorering. Labbet är även navet för klinisk neurokemisk forskning och utveckling på NIVA. Här sker bl a den fortsatta utvecklingen av cerebral mikrodialys, en metod för övervakning av det neurokemiska tillståndet i hjärnvävnaden hos NIVA-patienter.

NIVA vid Akademiska sjukhuset i Uppsala var först i världen med att införa denna metod som idag används både för klinisk neurokemisk forskning och rutinverksamhet vid många centra världen över.

Experimentellt neurokirurgiskt lab

Här utförs djurmodellforskningen om hjärnskademekanismer, hjärnskyddande läkemedel, neuroreparation och transplantation av stamceller. Forskningen görs både av heltidsforskare och forskande läkare på neurokirurgen vilket är en viktig förutsättning för kunskapsöverföringen från den basala forskningen till kliniken och tillbaka (s.k. translationsforskning).

Medarbetare

Per Enblad är professor i neurokirurgi vid Uppsala universitet och chef för neurokirurgins intensivvårdsavdelning på Akademiska sjukhuset. Per Enblads kliniska specialområden är neurointensivvård, neurotrauma och neurovaskulär kirurg.

Lars Hillered är professor i neurokemi vid Uppsala universitet och överläkare i klinisk neurokemi vid Akademiska sjukhuset. Lars specialområden är neurokemisk diagnostik inom neurointensivvården samt basal och klinisk hjärnskadeforskning.

Uppdaterad: 2025-06-04